How do I fix plantar fasciitis?
If you are in Brisbane and bothered by heel pain, we can assist you!
Heel pain (heel spurs and plantar fasciitis ) is a common foot complaint that affects both men and women, regardless of age,activity or occupation. However, it is far more common in people over 40, as their connective tissues stiffen and become less flexible. Heel pain can encompass a range of conditions and causes, and successful treatment requires a thorough knowledge of all these issues in order to achieve an optimal outcome.
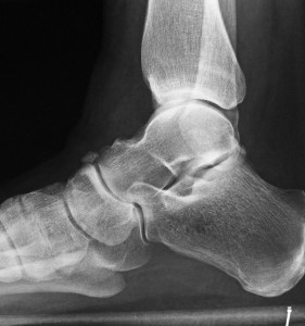
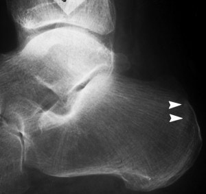
Many people with heel pain may have a bone spur present under the heel, but this is rarely the cause of the pain, or more likely to be a result of the condition.
The most common cause for heel pain is plantar fasciitis, an inflammation of a band of tissue (the plantar fascia) within the arch of the foot that inserts into the heel bone. This commonly causes pain when getting out of bed in the morning, and may recur through the day. Often patients described the feeling of a ‘stone bruise’ under the heel. The treatment of plantar fasciitis can involve the use of taping, stretching, anti-inflammatory medication, foot orthoses and ultrasound (shockwave) therapy.
Other causes of heel pain can include:
- Nerve entrapment’s within the heel (eg Baxter’s neuritis, tarsal tunnel syndrome)
- Various types of arthritic conditions (eg psoriatic arthritis)
- Stress fractures of the calcaneus
- Referred pain from spinal problems
Your podiatrist will examine you and listen to your history to understand the exact cause of your heel pain. This is essential as sometimes what appears to be plantar fasciitis at first glance, is actually another condition entirely.
What is the best treatment for plantar fasciitis?
Most causes of heel pain are easily managed with simple treatments, and rarely require injections or surgery. Please feel free to contact us to make an appointment with one of our podiatrists if you are suffering from chronic or acute heel pain.
Often we will recommend:
- a stretching program,
- taping,
- avoidance of bare-foot activity,
- orthotics and footwear changes.
- radial shockwave therapy, or
- a corticosteroid injection is symptoms are proving difficult to settle.
Most people will respond to these conservative measures, however some may require an injection in the heel to help with the pain, or in the very worst cases may require an operation to release part of the fascia.
How long does it take to heal from plantar fasciitis?
We generally advise that the longer the problem has been present, the longer it takes to go away.
If we see an acute case that has only been painful for a couple of weeks, then it will usually resolve very quickly with appropriate care – often within a week or two. However, if the pain has been present for a year or longer and has become chronic, it may take several months, and a wide variety of treatment approaches to settle the symptoms. Sometimes plantar fasciitis can eventually go away on its own, and ‘burn out’.



