Sesamoiditis is painful inflammation affecting the sesamoid bones, which are located in the forefoot. It is a common condition that typically affects physically active young people. Sesamoiditis causes pain in the ball of the foot, especially on the inner (medial) side. The pain may be constant, or it may occur with or be aggravated by, movement of the big toe joint. It may be accompanied by swelling (edema) throughout the bottom (plantar aspect) of the forefoot.
Anatomy of Sesamoid bones in the foot
The forefoot consists of the five toes and their connecting long bones, the metatarsals. Each toe (phalanx) is made up of several small bones called phalanges. The phalanges of all five toes are connected to the metatarsals by metatarsophalangeal joints at the ball of the foot. The forefoot bears half the body’s weight and balances pressure on the ball of the foot.
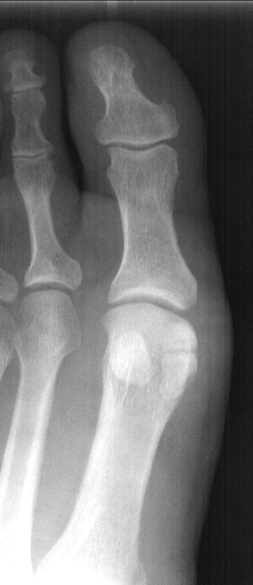
The big toe, or hallux, has two phalanges and two joints (interphalangeal joints); it also has two tiny, round, sesamoid bones that enable it to move up and down. On an x-ray of the foot, they appear as a pair of distinctive oval dots near the first metatarsal head (front end of the first long bone of the forefoot). The other four toes each have three phalanges, two joints, and no sesamoid bones.
The sesamoid bones closest to the inner side of the foot are called medial sesamoid bones; the ones closest to the outside of the foot are called lateral sesamoid bones.
The sesamoids are embedded in the flexor hallucis brevis tendon, one of several tendons that exert pressure from the big toe against the ground and help initiate the act of walking. The sesamoid bones have two principal functions.
- They absorb impact forces in the forefoot during walking through a series of attachments to other structures in the forefoot. Although they are separated by a bony ridge called the crista at the bottom (plantar aspect) of the first metatarsal head, they are connected to one another by an intersesamoid ligament. They also are attached to other tendons and ligaments in the forefoot (e.g., tendons of the abductor and abductor hallucis muscles, sesamophalangeal ligament, metatarsosesamoid ligament). This array of attachments enables the sesamoids to disperse some of the impact of the foot striking the ground during walking.
- The connecting ligaments, the first metatarsophalangeal joint capsule, and the sesamoid bones (known collectively as the sesamoid apparatus) act as a fulcrum, providing the flexor tendons a mechanical advantage as they pull the big toe down against the ground during walking.
Causes of Sesamoiditis
Sesamoiditis is usually caused by repetitive, excessive pressure on the forefoot. It typically develops when the structures of the first metatarsophalangeal joint are subjected to chronic pressure and tension. The surrounding tissues respond by becoming irritated and inflamed. This is a common problem among ballet dancers and people doing jumping sports like netball or basketball. Any activity that places constant force on the ball of the foot — even walking — can cause sesamoiditis.
Damage to the sesamoid bone may also result in sesamoiditis. Stress fractures (fine cracks in the bone structure due to repetitive abuse) can occur if the condition is untreated, and in more severe cases can turn into a true bone fracture, which can also lead to bone death which is called avascular necrosis.
Signs and Symptoms of Sesamoiditis
Sesamoiditis typically can be distinguished from other conditions that cause pain in the forefoot by its gradual onset. The pain usually begins as a mild ache and increases gradually if the aggravating activity is continued. It may build to an intense throbbing. In most cases, there is little or no bruising or redness. Pain and swelling can limit the ability of the first metatarsophalangeal joint to flex upward (dorsiflexion) or downward (plantarflexion), causing a loss of range of motion in the big toe and difficulty walking.
Treatment for Sesamoiditis
Treatment is usually noninvasive. Minor cases require a strict period of rest and the use of a modified shoe or a shoe pad with a cutout to reduce pressure on the affected area. A metatarsal pad can be placed away from the joint to redistribute the pressure of weight bearing to other parts of the forefoot. In addition, the big toe may be bound with tape or athletic strapping to immobilize the joint as much as possible and allow healing to occur. Oral antiinflammatory drugs can be used to reduce swelling.
Severe cases may require a below-the-knee walking cast for 2 to 4 weeks and the injection of steroids into the inflamed first metatarsophalangeal joint. Often foot orthoses are used to correct any anatomical or functional foot issues that have contributed to the problem, in order to prevent a recurrence.
When chronic pain is unable to be managed by these conservative methods, or if avascular necrosishas occurred, a surgical procedure called a ‘sesamoidectomy’ may be indicated. This is removal of all or part of the painful sesamoid bone.

